颈椎前路椎体骨化物复合体前移融合术(ACAF),于2017年8月在国际上首次被报道。该技术构建了“椎体骨化物复合体”的概念,依据“脊髓原位减压”的理念,成为了颈椎后纵韧带骨化症(OPLL)和脊髓型颈椎病(CSM)的重要解决方案。
5、
ACAF适应症
(一)颈椎后纵韧带骨化(OPLL)
骨化物位于椎体后缘,预计经椎间隙无法清除
骨化物累及1 ~ 4个节段(如有准备长节段钛板,亦可治疗长达5 ~ 6个节段的颈椎OPLL)
骨化物累及C2后方或T1后方的高低节段骨化
突出的局限型骨化,预计后路减压效果不佳
对于骨化范围>3个节段、椎管狭窄率>60%、骨化物厚度>5 mm的严重颈椎OPLL患者,直接切除骨化物具有相当难度和风险,手术术式的选择一直是一个争议,此类型患者行ACAF技术的优势更加明显。


(二)脊髓型颈椎病(CSM)
ACAF技术主要适用于合并椎管狭窄、存在椎体后方骨赘、颈椎曲度不良的多节段颈椎病患者;对于各种先天性、发育性及退变性颈椎椎管狭窄症,椎管前后径<12 mm,或Pavlov比值<0.75的病变优势明显。

ACAF术式经典图例

ACAF技术优势
构建脊髓安全空间,减少对脊髓骚扰
脊髓原位减压,避免脊髓过度后移(对比后路技术),避免减压不彻底(对比ACDF),避免脊髓过度前移(对比ACCF)
双侧神经根减压彻底
最大限度保留颈椎前柱,降低重建的难度,减少并发症
恢复颈椎生理曲度
ACAF术式集合了前路直接减压的效果和后路间接减压的安全性,有望改变颈椎翻修手术的治疗策略
ACAF器械选择要点
(一)窄钛板

1. 以钩突前脚为开槽标志,两侧开槽平局距离为16.8~17.9mm,钛板宽度选择16mm最合适。
2. 据统计,ACAF平均提拉节段为3个椎体左右,长节段固定时,超薄型钛板易变形,在综合考虑术后吞咽异物感发生率后,钛板厚度以2~2.5mm为宜。ARIES-III钛板2.5mm,折弯区厚度2.0mm,是ACAF术式最佳选择之一。
3. 钛板常规以单节段/双节段/三节段为主,但ACAF术式以双节段/三节段/四节段为主,特殊患者甚至用到五节钛板。
4. 临床应用详细规格:
单节钛板:19/21/23/25/27.5/30/32.5mm
双节钛板:32.5~55mm(每2.5mm一规格)
三节钛板:45~72.5mm(每2.5mm一规格)
四节钛板:67.5~85mm(每2.5mm一规格)
五节钛板:80/82.5/85/87.5/90/95/100/105/110mm


1、在ACAF术植入cage时,以cage轻松放入椎间隙为标准,而非锤入。由于椎间隙形态为前后高度小,中间高度达的梭形结构,当椎体骨化物前移后,轻松放入的cage将被上下终板后缘卡紧,既降低了术中提拉椎体骨化物复合体时的摩擦力,保证了复合体前移的效果,又避免了术后cage移位。ACAF常用cage高度依次为:5mm,4mm,6mm。
2、由于ACAF需切除部分椎体前部,保留的终板矢状径为12~16mm,所以,ACAF常用cage前后径(即深度)为10~12mm。
3、ACAF术中,置入cage优先于开槽操作,切忌选择左右径超过靠槽间距的cage。所以,ACAF常用cage宽度在12~14mm

4、临床应用优势
① 提供宽度12mm、深度10mm的cage,术中开槽操作更方便,避免遮挡;
② 提供高度3mm的cage,尤其对涉及较高节段或存在严重退变的ACAF,降低终板处理难度。
5、临床应用详细规格
深度×宽度×高度:
常规cage:11×14×4-9mm
小号cage::10×12×3-6mm
(三)自钻螺钉

1、自钻螺钉因其头部尖锐,较容易钻入椎体后的骨化物中,形成较强的把持力,相较于自攻螺钉具有明显优势。自攻螺钉头部圆钝,难以攻入致密的后纵韧带骨化物中,甚至存在使椎体和骨化物分离的风险。


2、头尾两侧,使用可变角度螺钉,更易置入,且允许微动,促进头尾两端融合。
3、中间节段,使用固定角度螺钉,提拉椎体骨化物复合体时,保证其提拉方向一致。
4、优先选用φ4.0螺钉,在完成椎体骨化物前移后,若透视下发现螺钉过长,可使用较短的φ4.5螺钉补救。
5、技巧:通常在提拉椎体骨化物复合体时,倾向于选择较长的螺钉(如16mm),完成提拉后,透视观察螺钉是否突入椎管,此时可更换12~14mm螺钉。
6、临床应用详细规格:
ACAF螺钉在临床实际使用中的需求与常规ACDF不同,固定角度螺钉、φ4.5补救螺钉需求应予以特别关注。
φ4.0为 常规钉
φ4.5为 补救钉
可变角度自钻螺钉:11-17mm
固定角度自钻螺钉:11-17mm
病例分享
术前术后X线:

术后CT:

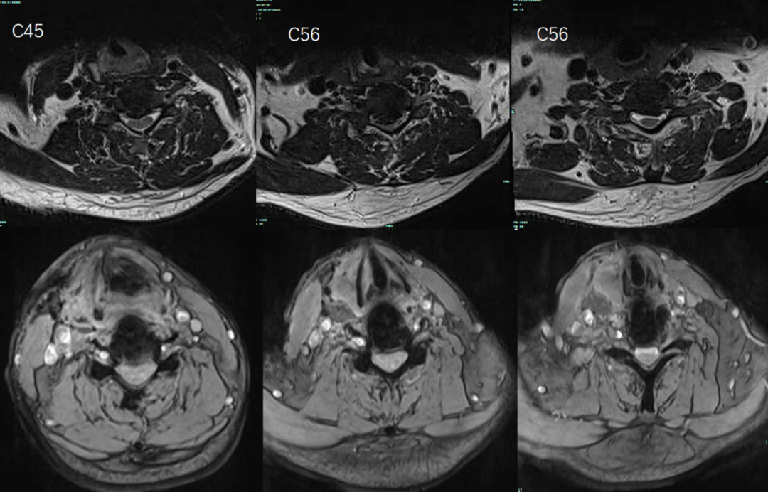
术前术后MRI:


参考资料:《颈椎外科前路可控前移融合技术:原理与应用》 史建刚编著