
Lisfranc关节解剖
Lisfranc 关节由骨性结构(包括5块跖骨、3块楔骨和1块骰骨)及相关韧带组成。第一、二、三跖骨分别与内侧、中间、外侧楔骨构成关节,第二跖骨是维持 Lisfranc 关节的稳定的核心结构,通常第二跖骨和中间楔骨若未受损,则不会发生跖跗关节脱位。

韧带损伤机制
多由高处跌下或前足直接受直接外力作用引起,跖附关节突然强屈,跖骨垂直位着地所致。由于跖跗关节背侧关节囊较为薄弱,强大的暴力可导致其撕脱损伤。严重者可使跖骨基底向背侧脱位。Lisfranc 损伤占中足损伤的 30%,表现为跖跗关节不稳定,甚至足弓塌陷。
韧带损伤临床表现
主要表现为足部肿胀,局部压痛明显(尤其以第 1、2 跖骨间为著)。患者常主诉足部疼痛,不能站立,严重脱位者可见凸起异常的足弓隆起。
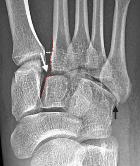
Lisfranc 韧带损伤分级
一级损伤:Lisfranc 韧带扭伤,在负重位片上正侧位均无明显改变,骨间隙无明显扩张、足弓高度没有下降,但骨显像信号增加。
二级损伤:Lisfranc 韧带断裂,第 1、2 跖骨间隙 1~5 mm,足弓高度没有下降。
三级损伤:第 1、2 跖骨骨间隙明显增宽,足弓高度下降(第五跖骨骨足底面之间的距离)。

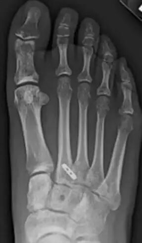
手术治疗——切开复位弹性内固定
在第二跖骨外侧缘进行纵向切口,进行软组织解剖。
用钳子和手术刀打开长伸肌腱内侧的肌腱鞘。从踇短伸肌内侧钝性游离,注意保护神经血管束
显露关节,评估关节稳定性。小刮匙清除 Lisfranc 关节的骨折碎片,血肿。

点式复位钳复位。从第二跖骨基部插入到内侧楔骨的 1.6 mm 导针。使用 3.5 毫米的空心钻头钻内侧楔骨。

使用导丝将可调袢从外侧穿过到内侧并复位,内侧支撑钛板位于第二跖骨的基部和内侧。牵拉使内侧支撑钛板紧贴骨质,对侧用带线锚钉完成锁定。
术后影像


可调节带袢钛板
规格:12×4×1.5mm

带线锚钉IV型
规格:2.9×15.5 mm