
肱骨大结节是肱骨近端一个至关重要的骨性突起,它是肩袖肌群(冈上肌、冈下肌、小圆肌)的附着点。撕脱骨折并非骨头本身的粉碎,而是由于肩袖肌腱在受伤瞬间猛烈收缩,将其附着的骨块硬生生地撕扯下来。
这种损伤是“骨与筋”的联合伤。它不仅是骨折,更本质的是肩袖功能单位的失效。如果处理不当,会导致肩关节无力、疼痛和活动受限。
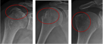
骨折分型:Neer分型

关键数据:5毫米是决定手术与否的“黄金分割线”。研究表明,移位超过5毫米,保守治疗后出现骨不连、畸形愈合和肩关节功能受限的风险显著增加。
解决方案:带线锚钉“缝线桥技术”
对于需要手术的病例,带线锚钉技术已成为金标准,其目标是实现解剖复位(把骨块放回完美位置)和牢固固定(让骨头顺利愈合)。

手术方式:
第一步:暴露与复位
在关节镜辅助下,建立数个微创小孔,清理骨折断端的血肿和软组织,用专用器械将向上移位的骨块拉回至正常的解剖位置。
第二步:植入带线锚钉并过线
内排锚钉:在肱骨头的关节面边缘(骨折线下方),置入第一枚带线锚钉。锚钉牢牢抓住骨质疏松的骨松质,高强度缝线则留在外面
过线固定:将锚钉的缝线以特定方式穿过附着在骨块上的肩袖肌腱-骨结合部,将骨块束缚住
第三步:构建“缝线桥”并最终锁定
外排锚钉:将内排锚钉的两根缝线尾端,分别以一定张力拉向骨块下方更远处的肱骨干皮质
加压锁定:将这两根线穿过外排锚钉的卵圆孔。缝线在骨块上方形成了一个具有加压作用的“桥”,敲击植入外排锚钉,将骨块牢牢地压在下方的骨折床上
技术优势与数据支持:
生物力学优势:“缝线桥”技术创造了四点固定,对抗肩袖拉力的能力远超传统的单排锚钉或螺钉固定,把失败率从15%-20%降低至5%以下。
促进愈合:持续的压力为骨折愈合提供了最佳的力学环境,愈合率高达95%以上。
减少并发症:避免了螺钉头部可能造成的肩峰下撞击,保留了更多血供。

