颈椎前路间盘切除减压植骨融合内固定术(Anterior Cervical Discectomy and Fusion,ACDF)是一项经典的颈椎微创手术技术。主要用于治疗椎间盘突出、关节退变、骨折等颈椎疾病。
传统肉眼下进行ACDF照明和术野一般,显微镜辅助ACDF手术,可使术野放大,术野更加清晰,减压更加彻底,止血更加充分,手术更加安全。
病例简介
基本情况:女性,42岁,因“颈痛伴右上肢麻痛20余天”入院。
查体:颈椎生理曲度变直,颈椎棘突及棘突间轻压痛,右侧三角肌肌力正常,右肱二头肌、腕背伸、肱三头肌肌力IV级,右手握力III级,左上肢肌力正常,右前臂桡侧及右手第1、2指皮肤感觉减退,左上肢感觉正常,双侧肌张力正常,双侧肱二头肌、肱三头肌腱及桡骨膜反射正常,双侧Hoffmann征(-),右椎间孔挤压试验(+),右臂丛牵拉试验(+)。
术前诊断:
神经根型颈椎病
颈椎后纵韧带骨化
颈椎不稳定
拟行手术:
显微镜下颈椎间盘切除术+前入路颈椎椎间融合术+2-3个椎骨融合或再融合+塑胶脊椎融合物置入术+颈椎前路椎管减压术+脊髓神经根粘连松解术+同种异体骨植骨术+右侧钩椎关节切除+脑脊液漏修补术
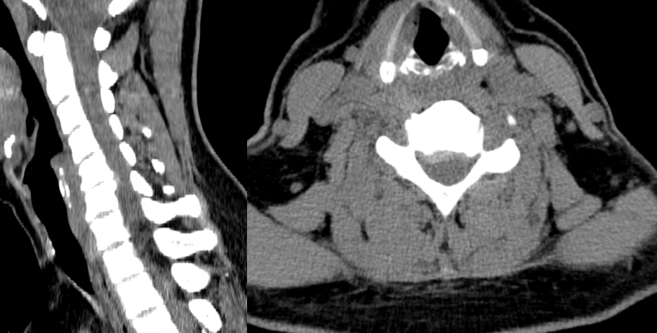
术前诊断影像:

X线检查-正侧位片

X线检查-动力位片

CT检查

MRI检查
手术简述
在C5/C6节段做长约2.5cm横行切口,在显微镜下,进行椎间盘切除,椎管减压,然后置入Uni-C 插片式颈椎自稳定型融合器。

显微镜下椎间减压展示:

融合器及固定夹植入展示:

皮肤切口展示:

术后影像:

专家团队

彭旻
南方医科大学第七附属医院脊柱外科
副主任医师 硕士研究生 医疗组组长
专业特长:
擅长颈椎病、腰椎间盘突出、腰椎管狭窄、腰椎滑脱、脊柱骨折等急慢性脊柱疾病的诊治。
熟练开展脊柱微创内镜手术治疗各种颈腰椎间盘突出症、脊柱椎管狭窄症及腰椎滑脱症,PVP/PKP治疗骨质疏松性椎体压缩性骨折、经皮复位椎弓根钉内固定术治疗胸腰椎骨折,脊神经阻滞术、经皮微创介入等离子射频消融术治疗急慢性脊柱疼痛等。

梁日东
南方医科大学第七附属医院脊柱外科
主治医师 硕士研究生 医疗组组长
专业特长:
专治颈肩痛,腰腿痛,手脚麻木无力,腰椎间盘突出,骨质疏松,胸腰椎骨折等等。
擅长各种脊柱微创手术,如后Quadrant微创手术治疗腰椎管狭窄、腰椎滑脱;椎间盘镜/椎间孔镜治疗腰椎间盘突出症及腰椎管狭窄症:微创经皮穿刺、射频消融技术治疗盘源性腰痛;腰椎间盘突出症纤维环修复术;微创经皮椎弓根螺钉技术治疗胸腰椎骨折及骨质疏松骨折经皮椎骨成形术。

梁亮
南方医科大学第七附属医院脊柱外科
主治医师 硕士研究生
专业特长:
擅长脊柱相关的疼痛治疗、微创治疗外伤性、骨质疏松性胸腰椎骨折以及规范化抗骨质疏松治疗,熟悉腰椎间盘突出症,颈椎病等脊柱外科等相关疾病诊治,对老年性骨质疏松骨折有专门的研究。
产品简介
Uni-C 插片式颈椎前路自稳定型融合器

国家发明专利:CN202110926148.8
国产首家取证插片式颈椎自稳定型融合器
垂直于骨面敲入固定夹,高低位颈椎不被骨结构遮挡操作
器械占位小,更加微创;敲入即锁紧,更加便捷