一、病例简介
患者:某女士,71岁,诉行走不稳2年,并有左手麻木。
查体:双手皮肤感觉减退,肌张力及肌力正常,双侧肱二头肌、肱三头肌腱及桡骨膜反射亢进,双侧Hoffmann征(+)。双侧踇背伸踝背伸肌力4级,余双下肢感觉及肌力正常。双下肢肌张力稍高,双侧膝腱反射及跟腱反射亢进。双侧踝阵挛(-/+),双侧Babinski征(+)。
术前诊断:
脊髓型颈椎病
颈椎椎管狭窄
颈脊髓变性
颈椎不稳定
腰椎间盘突出伴神经根病
腰椎椎管狭窄
重度骨质疏松
主动脉弓溃疡
拟行手术:ACDF(C3/4、C4/5、C5/6、C6/7)
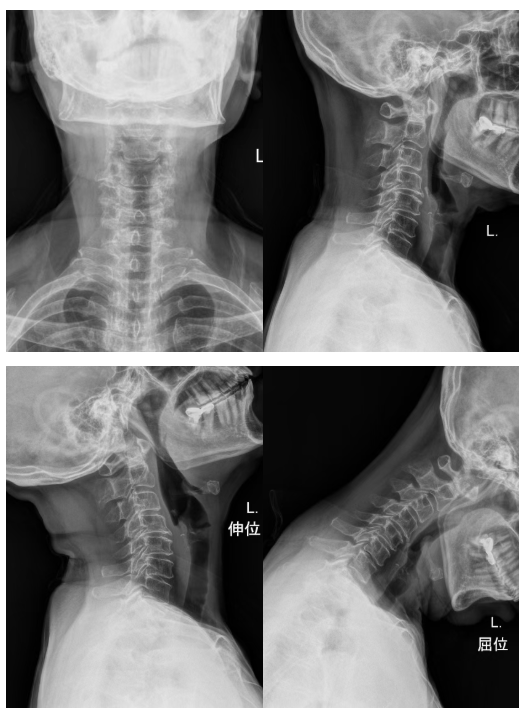
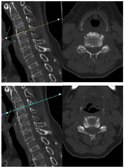
术前诊断影像:




二、手术简述
1、在C3/C4和C4/C5节段做长约3CM横行切口,进行椎间盘切除,椎管减压,然后置入Uni-C 插片式颈椎自稳定型融合器;
2、在C5/C6和C6/C7节段做长约3CM横行切口,进行椎间盘切除,椎管减压,置入颈椎椎间融合器,并使用颈椎前路钉板固定。
该混合融合方式兼顾了微创与脊柱稳定性,可有效避免长节段钉板固定应力过于集中,减少内固定失效的风险,同时缩短了手术时间(90min),减少出血量(20ml),更利于患者快速康复。
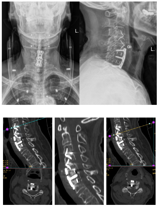
术后影像

三、专家团队介绍

刘瑞端 主任医师 博士
脊柱外科主任
南方医科大学第七附属医院骨科医学中心主任,佛山市脊柱微创技术工程中心主任,博士后合作导师。
专业特长:
微创方法治疗颈椎病、腰椎间盘突出症、腰椎管狭窄症、腰椎滑脱等退变性疾病;
青少年特发性脊柱侧凸、先天性脊柱侧凸、退变性脊柱侧凸、创伤性后凸畸形、强直性脊柱炎后凸畸形及结核性后凸等脊柱畸形的诊断和外科治疗;
脊柱肿瘤及脊柱感染性疾病的诊断和外科治疗。

彭旻 副主任医师 硕士研究生
医疗组组长
专业特长:
擅长颈椎病、腰椎间盘突出、腰椎管狭窄、腰椎滑脱、脊柱骨折等急慢性脊柱疾病的诊治。熟练开展脊柱微创内镜手术治疗各种颈腰椎间盘突出症、脊柱椎管狭窄症及腰椎滑脱症,PVP/PKP治疗骨质疏松性椎体压缩性骨折、经皮复位椎弓根钉内固定术治疗胸腰椎骨折,脊神经阻滞术、经皮微创介入等离子射频消融术治疗急慢性脊柱疼痛等。

梁亮 主治医师 硕士研究生
医疗组组长
专业特长:
擅长脊柱相关的疼痛治疗、微创治疗外伤性、骨质疏松性胸腰椎骨折以及规范化抗骨质疏松治疗,熟悉腰椎间盘突出症,颈椎病等脊柱外科等相关疾病诊治,对老年性骨质疏松骨折有专门的研究。

梁日东 主治医师 硕士研究生
医疗组组长
专业特长:
专治颈肩痛,腰腿痛,手脚麻木无力,腰椎间盘突出,骨质疏松,胸腰椎骨折等等。擅长各种脊柱微创手术,如后路 Quadrant 微创手术治疗腰椎管狭窄、腰椎滑脱;椎间盘镜/椎间孔镜治疗腰椎间盘突出症及腰椎管狭窄症:微创经皮穿刺、射频消融技术治疗盘源性腰痛;腰椎间盘突出症纤维环修复术;微创经皮椎弓根螺钉技术治疗胸腰椎骨折及骨质疏松骨折经皮椎骨成形术。
四、产品简介
Uni-C 插片式颈椎前路自稳定型融合器

国家发明专利:CN202110926148.8
国产首家取证插片式颈椎自稳定型融合器
垂直于骨面敲入固定夹,高低位颈椎不被骨结构遮挡操作
ARIES超薄型颈椎前路钉板内固定系统

全新一代超薄板型
更低切迹,更大螺钉摆角
GEMINI CF-I 颈椎椎间融合器

解剖弧形设计
多种尺寸,满足ACDF、ACAF多种术式
高血压
动脉硬化
泌尿系结石
肝海绵状血管瘤
双侧颈动脉内-中膜增厚
腔隙性脑梗死
脑萎缩
腰椎术后